CT Angiogram – Brain, Pulmonary and Abdominal in Pallavaram

CT Angiogram – Brain, Pulmonary and Abdominal

When it comes to identifying health concerns related to blood vessels and internal organs, accuracy plays a crucial role. At Insight Diagnostics and Labs in Pallavaram, we offer advanced imaging services including CT Angiogram of the Brain, CT Pulmonary Angiogram (CTPA), and CT Abdomen Scan. These imaging techniques go beyond simple pictures — they serve as powerful diagnostic tools that allow doctors to detect issues at an early stage and create effective treatment plans.

Our team understands that undergoing an angiogram can feel overwhelming, especially if it’s your first time. That’s why we combine advanced CT technology with a supportive, patient‑focused approach. Whether you’re being evaluated for a neurological condition, suspected pulmonary embolism, or abdominal pain, our skilled radiologists and caring staff ensure that your journey is smooth, safe, and reassuring.

CT Angiogram of the Brain in Pallavaram

A CT Angiogram of the Brain is a specialized scan that provides detailed images of the blood vessels in the brain. It is often recommended to diagnose or rule out conditions such as aneurysms, strokes, vascular malformations, or narrowing of arteries. Unlike traditional angiography, a CT angiogram is non‑invasive, quick, and highly accurate, making it a preferred choice for neurologists and neurosurgeons.

At Insight Diagnostics, we use advanced CT scanners that capture high‑resolution images within minutes. This ensures doctors have precise information for making treatment decisions without delays. Patients benefit from our streamlined process, where preparation, scanning, and reporting are handled with maximum efficiency and care.

  • Detects aneurysms, strokes, and vascular malformations
  • Non‑invasive and quick procedure
  • Provides 3D imaging of brain blood vessels
  • Helps doctors plan treatments with accuracy
  • Available with fast reporting at our Pallavaram centre

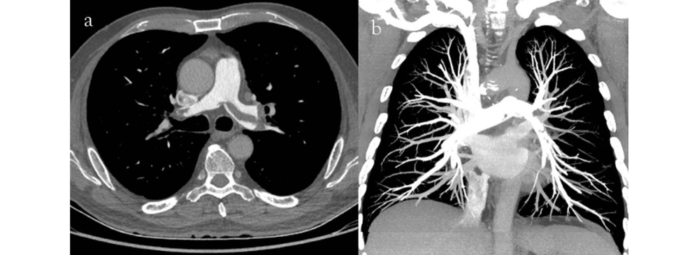
CT Pulmonary Angiogram (CTPA) in Pallavaram

A CT Pulmonary Angiogram (CTPA) is the gold standard for detecting pulmonary embolism (PE) — a serious condition caused by blood clots in the lungs. This scan provides a clear view of the pulmonary arteries, helping doctors confirm the diagnosis quickly and start life‑saving treatments without delay.

At our centre, the procedure is performed using advanced CT technology and safe contrast agents to deliver sharp, accurate images. Patients experiencing symptoms like sudden chest pain, shortness of breath, or unexplained rapid heartbeat may be referred for CTPA. Our experienced radiologists interpret the scans with precision, ensuring your doctor has the information needed to act promptly.

  • Detects pulmonary embolism with high accuracy
  • Quick and safe diagnostic procedure
  • Provides detailed images of pulmonary arteries
  • Recommended for patients with sudden chest pain or breathlessness
  • Reports delivered within 2 hours for timely treatment

CT Angiogram for Abdomen in Pallavaram

A CT abdominal angiogram for is an essential test for evaluating abdominal pain, suspected tumors, infections, or organ injuries. By using a contrast dye, the scan highlights the liver, kidneys, pancreas, intestines, and blood vessels, allowing doctors to identify abnormalities that may not appear on other imaging tests.

At Insight Diagnostics, our abdominal CT scans are performed with patient comfort and safety in mind. Whether it’s for routine evaluation or emergency care, we ensure high‑quality imaging that supports accurate and early diagnosis. With our skilled team and fast reporting system, patients can move forward with treatment decisions without unnecessary delays.

  • Evaluates liver, kidneys, pancreas, and intestines
  • Detects tumors, infections, and internal injuries
  • Helps in planning surgeries and treatments
  • Uses safe contrast dyes for clear imaging
  • Trusted diagnostic choice in Pallavaram

How to Prepare for a CT Angiogram

Proper preparation ensures accurate results and a smoother experience. At our scan centre in Pallavaram, we provide patients with clear, personalized instructions before their CT angiogram. This may include fasting for a few hours, adjusting certain medications, and ensuring proper hydration.

We also encourage patients to share their full medical history, including allergies, kidney issues, or prior reactions to contrast dye, so our team can tailor the procedure for maximum safety. This thorough approach helps us minimize risks and deliver reliable imaging results.

  • Guidance on fasting and fluid intake if required
  • Review of medical history and allergies
  • Medication advice tailored to individual needs
  • Simple instructions to ensure best‑quality imaging
  • Personalized support from our expert staff

What to Expect During the Scan

Many patients feel anxious before a CT angiogram, but the process is usually quick and comfortable. At our CT Scan Centre in Pallavaram, the scan typically takes about 20–30 minutes. You’ll be asked to lie still while the contrast dye is administered, after which the CT scanner captures detailed images.

Throughout the scan, our caring staff remain close by to ensure your comfort and safety. Most patients report only mild sensations, such as a warm feeling from the contrast dye, which quickly subsides. We focus on making the experience as stress‑free as possible.

  • Total scan time of 20–30 minutes
  • Non‑invasive, painless procedure
  • Caring staff present throughout the scan
  • Quick relief from any minor discomforts
  • Calm, supportive environment

After Your CT Scan: Reports & Next Steps

Getting timely results is essential for your health. At Insight Diagnostics and Labs, most CT angiogram and abdominal scan reports are ready within 2 hours. Our radiologists carefully review each scan to provide detailed, accurate interpretations.

You’ll receive both digital and printed copies of your report for convenience. Our team is always available to explain results if needed and guide you on the next steps. This seamless process helps you and your doctor move forward with clarity and confidence.

  • Reports delivered within 2 hours in most cases
  • Option for both digital and hard‑copy reports
  • Detailed analysis by experienced radiologists
  • Staff support to explain results when required
  • Smooth transition to your doctor’s care plan

Why Choose Insight Diagnostics in Pallavaram

Choosing the right diagnostic centre can make a significant difference in your healthcare journey. At Insight Diagnostics and Labs, we are recognized for providing reliable CT Angiograms and CT Scans in Pallavaram with a focus on accuracy, patient comfort, and timely reporting. Our centre is equipped with advanced CT scanners and run by radiologists experienced in brain, pulmonary, and abdominal imaging.

What sets us apart is not just our technology but also our commitment to patient care. We understand that every scan carries emotional weight, so we ensure you feel informed, supported, and respected at every step. From the moment you book your appointment to the time you receive your report, we strive to deliver a seamless and reassuring experience.

  • Skilled radiologists specializing in angiograms and abdominal imaging
  • Modern CT technology for crystal‑clear images
  • Patient‑first approach with clear communication
  • Quick turnaround times for faster decisions
  • Convenient location in Pallavaram

Safety and Comfort at Our Scan Centre

Your safety is our top priority. At our scan centre in Pallavaram, we use only medically approved contrast agents and maintain strict hygiene protocols to ensure safe procedures. Before the scan, our staff explain the process in detail, answer your questions, and review your medical history to minimize risks.

During the scan, our caring team remains attentive to your comfort, ensuring you feel at ease throughout the procedure. Afterward, we monitor you briefly and provide guidance for the next steps. This careful approach allows patients to undergo advanced imaging with confidence and peace of mind.

  • Use of safe, approved contrast agents
  • Strict hygiene and safety standards
  • Friendly staff to guide you through the process
  • Post‑scan monitoring for added reassurance
  • Comfortable scanning environment

Patient‑Centric Care Experience

We believe diagnostic care should be as stress‑free as possible. That’s why our CT Scan Centre in Pallavaram offers easy appointment booking, minimal waiting times, and both digital and printed reports for your convenience. Our team treats every patient with compassion, ensuring you never feel rushed or uninformed.

We also understand how important timely results are. That’s why most reports are ready within 1 to 2 hours. By combining efficiency with empathy, we ensure that your diagnostic journey supports not only your physical health but also your peace of mind.

  • Hassle‑free appointment booking online or by phone
  • Quick reporting for faster treatment planning
  • Choice of digital and hard‑copy reports
  • Courteous staff always ready to assist
  • Healthcare designed with your needs in mind

Moving Forward with Confidence

At Insight Diagnostics and Labs, we see every scan as a vital step toward better health. Whether you need a CT Angiogram of the Brain,CT Pulmonary Angiogram (CTPA), or CT Scan for Abdomen, you can trust our team for accurate results and compassionate care.

With advanced technology, experienced radiologists, and a patient‑first approach, we deliver not just scans but clarity and peace of mind. Choose Insight Diagnostics — where your health, safety, and confidence always come first.

📞 Book your CT Angiogram or CT Scan in Pallavaram today and take the next step toward clarity and better health.

Frequently asked questions

A CT Angiogram of the Brain in Pallavaram is used to detect strokes, aneurysms, narrowed arteries, or abnormal blood vessels. It provides detailed 3D images that help doctors diagnose conditions quickly and accurately. The test is non‑invasive and much faster than traditional angiography.

A CT Pulmonary Angiogram (CTPA) is often recommended if your doctor suspects a pulmonary embolism, which is a blood clot in the lungs. It gives a clear view of the pulmonary arteries to confirm or rule out blockages. This scan can be life‑saving because of its speed and accuracy.

You may need a CT Scan for Abdomen in Pallavaram if you’re experiencing ongoing abdominal pain, unexplained weight loss, or symptoms of infection. The scan evaluates organs like the liver, kidneys, pancreas, and intestines. It helps doctors detect tumors, injuries, or internal bleeding early.

Preparation depends on the type of scan. Some patients may need to fast for 4–6 hours, while others can eat normally. At our scan centre in Pallavaram, we review your medical history and provide clear instructions before your appointment. Staying hydrated is usually recommended unless advised otherwise.

At Insight Diagnostics in Pallavaram, most CT angiogram and abdominal scan results are ready within 1 to 2 hours. In urgent cases, we provide reports within 30 minutes to support faster treatment decisions. Reports are available in both digital and printed formats for your convenience.
Insights Diagnostics and Labs Contact Number Insights Diagnostics and Labs WhatsApp